Zahnersatz
"Wer die Wahl hat, hat die Qual!"
Es gibt verschiedene Möglichkeiten einer Therapie mit Zahnersatz. Die Unterschiede liegen in der Art der Ausführung, den verwendeten Materialien und im Preis.
Wir beraten Sie umfassend über die Möglichkeiten, die für Ihre Zahnsituation die Beste ist unter Berücksichtigung der best möglichen Kassenleistung/Festzuschuss bzw. für Privatpatienten, welche Leistungen in der Regel durch Ihre Versicherung übernommen werden.
Jegliche Form von Zahnersatz - egal ob Krone, Brücke oder Prothese - ist immer eine Maßanfertigung und individuell an die Mundsituation angepasst. Deshalb ist es auch nicht möglich, Preistabellen oder ähnliches zu veröffentlichen, da jeder Fall anders gelagert ist und für ein und denselben Befund verschiedene Techniken und Zahnersatzarten zum Einsatz kommen können.
Nach einer gründlichen Untersuchung, der Anfertigung von Röntgenaufnahmen und der Information über die verschiedenen Möglichkeiten, wird ein Heil- und Kostenplan (HKP, "Kostenvoranschlag") aufgestellt.
Für gesetzlich versicherte Patienten muss dieser bei den Gesetzlichen Krankenkassen vor der Behandlung für die Genehmigung und Festsetzung des Zuschusses eingereicht werden. Ja, gesetzlich versicherte Patienten bekommen nur einen Anteil der Kosten erstattet. Die anteilmäßige Beteiligung der Kasse wird nach einem 2005 eingeführten Festzuschuss-System berechnet. In bestimmten Fällen hat der Patient auch Anspruch auf die vollständige Beteiligung der Kasse. Dies wird als Härtefallregelung bezeichnet, wobei der Patient den Doppelten-Festzuschuss erhält. Der Patient ist in jedem Fall verpflichtet vor dem Beginn der Behandlung - bis auf wenige Ausnahmen - den HKP als schriftliche Aufstellung der geplanten Zahnersatzmaßnahmen bei einer Gesetzlichen Krankenkasse vorzulegen und diesen genehmigen zu lassen.
Bei privat versicherten Patienten ist zwar ein vorheriger ein Heil- und Kostenplan (HKP, "Kostenvoranschlag") in der Regel nicht notwendig. Trotzdem empfehlen wir unseren Patienten sich solch einen Kostenvoranschlag anfertigen zu lassen, damit nach Abschluss der Behandlung nicht "unangenehme Überraschungen" auftreten.
Kronen
Hat die Zerstörung eines Zahnes zu erheblichen Verlusten der Zahnkrone geführt oder sind unfallbedingte Beschädigungen aufgetreten, ist es häufig nicht mehr möglich, den Zahn mit einer Füllung zu reparieren. Im Gegensatz zu einer Füllung, welche im Zahn verankert wird, umfasst eine Krone Teile bzw. den gesamten in die Mundhöhle ragenden Anteil eines Zahnes und gibt diesem damit wieder seine Form und eine ausreichende Stabilität zurück. Im sichtbaren Bereich wird zusätzlich ein annähernd natürliches Aussehen erreicht. Es gibt eine Vielzahl von Zahnkronenarten. Allen gemein ist nach der Beschleifung des Zahnes und einem exakten Abdruck des Zahnstumpfes und der umgebenden Mundsituation in einem zahntechnischen Labor angefertigt werden muss. Eine weniger verbreiterte Methoden ist das Schleifen der Krone in der Praxis direkt aus einem Keramikblock. Im Milchzahngebiss kommen ggf. vorgefertigte Kronen zum Einsatz.
Bei der Vielfalt der Kronenarten fällt eine Aufteilung schwer. Man kann nach dem Aussehen (z.B. metallisch oder zahnfarben), den verwendeten Materialien, nach der Präparation, nach der Größe oder nach der Verankerung am/im Zahn unterscheiden. Entsprechend unterschiedlich aufwendig sind die einzelnen Verfahren, was sich letztendlich erheblich auf die Kosten auswirkt.
Man unterscheidet nach der Größe:
- Vollkronen -> Krone umschließt den Zahn vollständig
- Teilkronen -> Krone bedeckt nur einen Teil des Zahnes
Man unterscheidet nach der Verankerung:
- Zahnkronen
- Stiftkrone
- Teleskopkrone
Man unterscheidet nach dem Material:
<> Vollgusskrone
gilt als "Standardkrone" im nichtsichtbaren Bereich
wird auch als Metallkrone oder Goldkrone bezeichnet
erfüllt hauptsächlich funktionelle Aspekte
zeichnet sich durch lange Haltbarkeit aus
<> Verblendkrone
ist ganz oder teilweise mit zahnfarbenen Material überzogen
kommen im sichtbaren Bereich des Mundes zum Einsatz
~ Kunststoffverblendkrone
~ Keramikverblendkrone (Metallkeramikkrone)
+teilverblendet
+vollverblendet
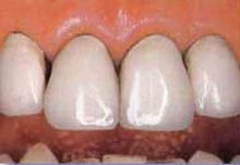
<> Vollkeramikkrone = Mantelkrone
ist die ästhetisch perfekteste Krone
durch die Metallfreiheit optimale biologische Verträglichkeit
~ Aufbrennkeramik = klassische Jacket-Krone
auf einem feuerfesten Modellstumpf wird frei geschichtete Keramik gebrannt
~ Presskeramik
in eine feuerfeste Form wird die Keramikmasse gegossen oder gepresst und nachbearbeitet
~ Zirkonkreamik
Keramikkronenkäpchen wird über CAD-CAM-Verfahren hergestellt und weiterverarbeitet
~ Glaskeramik
vollständige Krone wird im CAD-CAM-Verfahren gefräst -> Cerec-Krone
~ Feldspatkeramik
vollständige Krone wird im CAD-CAM-Verfahren gefräst -> Cerec-Krone
Presskeramik
Cerec-Kronen
<> Kunststoffmantelkrone
aus Kunststoff gefertigte Krone => nur für Kurz-/Langzeitprovisorien geeignet (Übergangslösung), aufgrund hoher Abrassion und Bruchgefahr
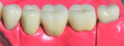
Brücken
Bestehen Lücken in einem Gebiss sollten diese nach Möglichkeit geschlossen werden.

Einerseits wird wieder eine vollständige Kaufunktion hergestellt. Andererseits wird im sichtbaren Bereich auch ein ansprechendes Äußeres erzielt. Weiterhin wird mit dem Lückenschluß die Sprachfunktion für einen regelrechten Maßstab gewährleistet.
Brücken zählen zum sogenannten festsitzenden Zahnersatz. Diese Brücken können in den meisten Fällen nicht vom Patienten selbst aus dem Mund herausgenommen werden. Sie sind zwar in der Regel teurer als herausnehmbarer Zahnersatz, dafür ist aber das Beißgefühl und der Komfort um einiges besser. Durch die feste Verbindung der Brücken zu den eigenen Zähnen ist diese Art des Zahnersatzes jedoch bei auftretenden Schäden nicht reparabel. Grundsätzlich lassen sich Zahnlücken nach drei Methoden schließen:
- durch Brücken
- durch Implantate (künstliche Zahnwurzeln)
- durch herausnehmbaren Zahnersatz (Prothesen)
Die Entscheidung zwischen diesen Möglichkeiten hängt zum einen davon ab, ob die eine oder andere Methode überhaupt im speziellen Fall durchgeführt werden kann, je nachdem wie der Befund gelagert ist. Andererseits ist auch entscheidend, ob die finanziellen Verhältnisse das eine oder andere zulassen.
Wie man sehen kann, lässt sich die Frage nicht so einfach beantworten. Kosmetisch sind mit allen Methoden ansprechende Ergebnisse zu erzielen. Wissenschaftliche Langzeituntersuchungen besagen, dass bei gesunden Mundverhältnissen eine Versorgung mit einer Brücke auf Grund der besseren Langzeitprognose dem herausnehmbarem Zahnersatz vorzuziehen ist.
Ähnlich den künstlichen Zahnkronen gibt es eine Vielzahl von Brückenarten. Man kann nach dem Aussehen (z.B. metallisch oder zahnfarben), den verwendeten Materialien, nach der Präparation, nach der Größe oder nach der Verankerung am/im Zahn unterscheiden. Hinzu kommt noch die Form der Brücke selbst. Ist das Brückenglied wie bei einer natürlichen Brücke "schwebend" - sitz also dem Zahnfleisch nicht auf - so spricht man von einer Schwebebrücke. Bei einem Aufsitzen auf dem Kiefer - dies ist aus kosmetischen und funktionellen Gründen häufig zwingend erforderlich - spricht man von einer Basisbrücke. Und schließlich wird bei der Größe und der Pfeileranzahl einer Brücke zwischen ein- und mehrgliedrig und ein- und mehrspannig getrennt.
Allen konventionellen Arten identisch ist die Herstellung nach Präparation und Abdrucknahme in einem zahntechnischen Labor.
Man unterscheidet nach dem Material:
Folgen Sie bitte den Erläuterungen im Bereich Kronen bzw. [nähere Erläuterungen]
Man unterscheidet nach der Verankerung:
- klassische (Zahnkronen und Stiftkrone) Brücke
- Klebebrücke
- Inlaybrücke
- herausnehmbare Brücken
- Verbundbrücken
Man unterscheidet nach der Größe:
- Anzahl der Spannen
+ einspannige Brücken
+ mehrspannige Brücken
- Anzahl der Pfeiler
+ ein Pfeiler
+ zwei Pfeiler
+ mehr Pfeiler
Man unterscheidet nach dem Zwischenglied:
<> Schwebebrücke
+ gilt als "Standardanwendung" im nichtsichtbaren Bereich
+ das Brückenglied liegt dem Kiefer nicht auf
+ das Brückenglied ist "unterspülbar"
<> Basisbrücke
+ das Brückenglied sitzt dem Kieferkamm mehr oder weniger ausgedehnt auf
+ gilt als Standardversorgung für verblendete Brückenblieder
Sehr häufig sind bei Brücken Mischformen anzutreffen. So werden im sichtbaren Bereich zahnfarben Materialien verwendet. Im nichtsichtbaren Bereich belässt man ggf. die Metallkronen und -brückenglieder. Unterschiedliche Gründe liegen dafür vor (Kostengründe, Verankerung, verwendete Materialen).
Bereich Prothesen
Diese sind zum Teil herausnehmbar. Man unterscheidet:
- Modellgussprothese mit einfachen Klammern zur Befestigung
- Kombinationszahnersatz besteht aus zwei Teilen. Einer bleibt fest im Mund, der andere ist herausnehmbar mit sicheren Befestigungsmöglichkeiten verschiedener Arten
Zahnersatz in Verbindung mit Implantaten
(Implantatsetzung ist auch hier in unserer Praxis möglich) Fast jede Altersgruppe kann versorgt werden!
Sie haben einen Bedarf an Zahnersatz und wissen nicht, was für Sie die beste Versogung sein würde?
- durch Brücken
- durch Implantate (künstliche Zahnwurzeln)
- durch herausnehmbaren Zahnersatz (Prothesen)
Die Entscheidung zwischen diesen Möglichkeiten hängt zum einen davon ab, ob diese oder jene Methode überhaupt im speziellen Fall durchgeführt werden kann bzw. ob die finanziellen Verhältnisse das eine oder andere zulassen.
Die Entscheidung ist immer individuell und Fallbezogen!!!!


Presskeramik
Cerec-Kronen
